Stentler göz tansiyonunu nasıl düşürür?
Stent tedavisi yeni bir glokom tedavi yöntemi olup temel olarak glokom hastalığındaki bozulmuş olan göz içi sıvı dolaşımını düzeltmek için geliştirilmiştir. Göz içi sıvısının boşaltım sisteminde en yüksek direnç milimetrenin yaklaşık onda biri kadar ince bir bölgede bulunmaktadır. Stentler ile bir anlamda tıkalı diyebileceğimiz bu bölge “by-pass” edilmekte ve dolayısıyla sıvı dolaşımı düzeltilmektedir. Bunu kalpteki tıkalı damarların stentlerle açılmasına benzetebiliriz.
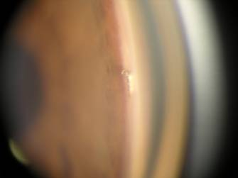
Glokomda kullandığımız stentler “L” şeklindedir ve 1 mm’den küçük olup titanyumdan imal edilmektedir. Stentlere karşı herhangi bir doku reaksiyonu gözlenmemiştir.


Uygulama nasıl yapılıyor? Stentler nasıl yerleştirilyor?
Lokal anestezi (iğne yapılmadan) altında ameliyathanede yapılmaktadır. 10-15 dakika gibi kısa bir sürede işlem tamamlanmaktadır. İşlem ağrısızdır, herhangi bir dikiş konmamakta ve hasta evine gönderilmektedir. Ameliyat sonrasında ise yaklaşık 3 hafta süreyle antibiyotik ve kortizonlu damlalar kullanılmaktadır.


Yöntemin etkinliği hangi düzeydedir?
Üç yıla yakın bir süredir yürüttüğümüz araştırma sonunda elde ettiğimiz sonuçlara göre stentler yeni tanı konmuş ve hiçbir tedavi almayan glokom hastalarında ilaç tedavisine benzer bir etki oluşturmaktadırlar (yayınlar bölümünde “Açık Açılı Glokomda Trabeküler Bypass (Glaukos i-Stent) Uygulaması” isimli yayınımı inceleyebilirsiniz). İlaç kullanmakta olan ancak 2-3 adet ilaca rağmen göz tansiyonu yeterince düşürülemeyen glokom hastalarında ise ek bir göz tansiyonu düşüşü sağlamakta ve ilaçların bazılarının kesilmesi mümkün olmaktadır.
Burada belirtilmesi gereken önemli bir husus; çok geç evrede başvuran ileri glokomlu olgularda hastalığın durdurulması için göz tansiyonunun çok fazla miktarda düşürülmesi gerektiğidir. Bu tür hastalarda genellikle stent uygulamak iyi sonuç vermemektedir, bu nedenle bu tür gözlerde güvenli trabekülektomi ameliyatını (bakınız. Glokom ameliyatı) uyguluyoruz.