Glokom tedavi edilmediği zaman körlüğe yol açabilen önemli bir hastalıktır.
- Glokom her iki cinste eşit oranda görülür (kadın ya da erkek ayırt etmez).
- Her yaşta görülebilir, ancak görülme sıklığı ilerleyen yaşla birlikte artar.
- Tüm dünyada yaklaşık 70 milyon insanda bulunduğu (dünya nüfusunun kabaca yüzde biri) hesaplanmaktadır. Bunların yaklaşık onda biri olan 7 ila 10 milyon kişide körlük söz konusudur. Glokom gelişmiş ülkelerde ve ülkemizde körlüğün en önemli nedenidir.
- Glokom hastalığına yola açan ana neden “Genetik yatkınlık” tır.
Glokom çok sinsi bir hastalıktır, önemli bir belirti vermeden kalıcı hasar yapabilir.
Glokomda görme kaybı genellikle yavaş (göz tansiyonunun seviyesine bağlı olarak aylar ya da yıllar içinde) gelişir. Genellikle tek gözde başlar, daha sonra diğer gözde de ortaya çıkar. Glokomda keskin görme ve okuma fonksiyonları en son evrede etkilenirken öncelikle görüş alanı daralmakta ve hareketli cisimlerin algılanması bozulmaktadır. Görüş alanı iyice daraldığında yürürken eşyalara takılma, basamakları fark etmeyerek düşme gibi bulgular ortaya çıkmakta; son evrelerde ise görüş alanı iyice daralarak adeta dar bir boru içinden bakma gibi bir durum ortaya çıkmaktadır. Ülkemizde yaklaşık bir milyon kişide glokom bulunmaktadır, ancak bunların yarısından çoğuna doktora başvurmadıkları için tanı konamamıştır.
Glokoma bağlı görme bozukluğu kalıcıdır ve düzeltilemez; bu nedenle glokom tedavisinde ilk amaç hastalığın olabildiğince erken evrede teşhis edilmesidir.
Glokomun genellikle tek gözde başlaması (diğer göz tamamen normal olabilir), genellikle ağrı, kızarıklık gibi belirtiler vermemesi ve oluşan görme kaybının hastalığın başlangıcında merkezi görmeyi fazla bozmaması gibi nedenlerle birçok hastada ancak bir miktar görme fonksiyonu bozulduktan sonra tanı konabilmektedir. Glokom hastalarının önemli bir kısmı tesadüfen sağlam gözlerini kapattıklarında bozuk gözdeki görme kaybını fark edip doktora başvurmaktadırlar. Yapılan araştırmalarda glokom tanısının hastaların %10’unda körlük oluştuktan sonra konabildiği belirtilmektedir. Bu evrede başvuran hastaların ne yazık ki bozulan görmelerini geri getiremiyoruz.
Glokomda erken evrede tanı koymak için periyodik tarama muayeneleri gereklidir.
Glokomun yaşla birlikte arttığını ve genetik yatkınlığın önemli olduğunu belirtmiştim. Bu nedenle ailesinde (birinci ya da ikinci derece akrabalar) glokom bulunan kişilerin özellikle otuzlu yaşlardan itibaren yılda bir düzenli olarak göz tansiyonlarını ölçtürmeleri önerilmektedir. Ailesinde hiç glokom olmayan bireylerin ise kırk yaşından itibaren düzenli olarak iki yılda bir göz tansiyonunu ölçtürmeleri erken tanı için gereklidir.
Glokomun daha sık olarak görüldüğü önemli bir hasta grubu miyop kırma kusuru olan bireylerdir; miyoplarda glokom sıklığı normal bireylere göre yaklaşık beş kat artmıştır. Genetik olarak miyop ile glokom birlikte görülme eğilimi taşır, ayrıca miyop derecesi yükseldikçe glokom görülme sıklığı daha da artar. Bu nedenle miyopların (yaşa bağlı olmaksızın) yılda bir göz tansiyonunu ölçtürmeleri gereklidir.
Hipermetrop kırma kusuru olan bireylerde ise daha seyrek görülen, ancak daha tehlikeli bir glokom türü olan “dar açılı glokom” görülmektedir. Genellikle normalden daha küçük olan bu gözlerde glokomun nedeni göz içi sıvısının dolaşımı ile ilgili sorunlardır; sıvı arka odacıktan öne geçemez ve renkli tabaka olan irisin arkasında birikip onu öne doğru bombeleştirir, ve sıvının gözü terk etmesini sağlayan kanalların ağzını kapatmasına neden olur. Bu durumda çok tehlikeli bir durum olan ve bazen çok kısa süre içinde kalıcı görme kaybı yapabilen “glokom krizi” ortaya çıkabilir. Arzu edilmeyen böyle bir durumun ortaya çıkmaması için dar açılı gözlerin saptanması çok önemlidir. Hipermetrop bireylerde sadece göz tansiyon kontrolü yeterli olmayabilir, şüphelenilen durumlarda mutlaka deneyimli bir uzman tarafından gerekli muayenelerin yapılarak riskli bir durum olup olmadığının kesin olarak ortaya konması gerekir.
Göz tansiyonu ölçümleri “kornea” kalınlığından önemli oranda etkilenir.
Kornea göz küresinin en önünde yer alan saydam tabaka olup göz içi sıvısı ile doğrudan temas halindedir. Göz tansiyonu ölçümleri kornea üzerinden yapılmaktadır ve bu nedenle korneanın kalınlığı ya da sertliğinden büyük oranda etkilenmektedir. Kornea normalden ince ise ölçüm ile bulunan göz tansiyonu değeri gerçekte olduğundan düşük çıkar, kornea kalın ise bu kez ölçülen değer gerçekte olduğundan daha yüksek bulunur. Özellikle miyop ya da hipermetrop nedeniyle korneaya uygulanan lazer ameliyatlarında korneanın inceltilmesi bu gözlerde göz tansiyonu ölçümlerinin gerçekte olduğundan düşük bulunmasına neden olur. Bu nedenle lazer ameliyatı olmuş gözlerde göz tansiyonu ölçümlerine güvenilmemesi ve glokomdan şüphelenilen durumlarda mutlaka görme sinirine yönelik değerlendirme yöntemlerinin de kullanılması gerekmektedir.
Glokom tanısı için sadece göz tansiyonu ölçümü çoğu olguda yeterli değildir, hastalığa bağlı olarak görme sinirinde ortaya çıkan değişikliklerin de saptanması gerekir.
Glokom hastalığı göz tansiyonunun normalden yüksek oluşu nedeniyle gelişir, ancak kesin tanı koyabilmek için görme sinirinde hastalığa bağlı olarak oluşan zedelenmenin kanıtlanması gerekir. Göz tansiyonu bir miktar yüksek olan, ancak görme sinirinde hasar bulunmayan bireyleri “glokom şüphesi” ya da “oküler hipertansiyon” olarak adlandırıyoruz ve herhangi bir tedavi vermeden izliyoruz.
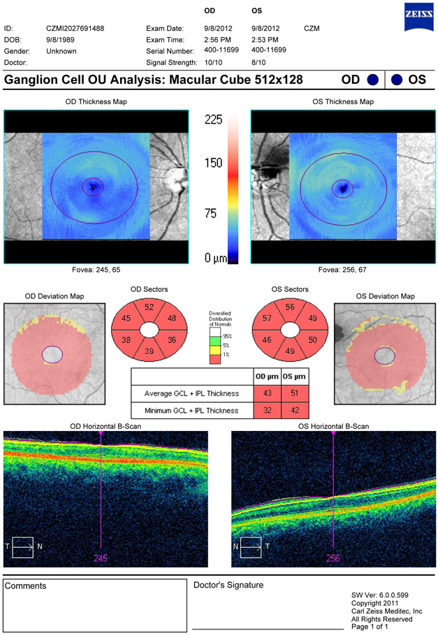
Görme sinirinde glokoma bağlı olarak ortaya çıkan değişiklikleri saptamak için duyarlı bir yöntem “Optik koherens tomografi-OCT”.
On yıl kadar öncesine kadar glokomun oluşturduğu hasarı teşhis etmek ve hastalığı takip için tek inceleme yöntemimiz “görme alanı incelemesi” idi. Tamamen hastanın uyumuna bağlı olan bu yöntem görüş alanında glokoma bağlı olarak gelişen daralmayı saptamaya yönelikti. Test yaklaşık yarım saat sürmekte, yaşlı ve uyum sorunu olan hastalarda oldukça hatalı sonuçlar verebilmekteydi. Hastaların verdiği hatalı cevaplar sonucu bazen gerçekte glokomu olmayan normal bireylere hatalı olarak glokom tanısı konabilmekteydi.
OCT ise tümüyle objektif bir tanı yöntemi olup lazer ışını yardımıyla görme sinirinde glokoma bağlı olarak ortaya çıkan değişiklikleri duyarlı ve güvenilir olarak gösterebilmektedir. Benim OCT ile ilk tanışmam 1996 yılında ABD’de Boston kentinde Tufts Üniversitesindeki “New England Medical Center”’da oldu. Burada dünyadaki ilk prototip cihaz ile çalışmalar yaptım, ve dünyadaki ilk ticari cihazlardan birini 1997 yılında Türkiye’ye getirerek kullanmaya başladım. OCT teknolojisindeki gelişmeler baş döndürücü hızla devam etti, cihazın duyarlılığı gelişti ve hızı arttırıldı. Günümüzde OCT glokomun erken tanısı için altın standart olarak kabul edilmektedir. Muayenehanemizde spektral teknolojiyle çalışan ve göz bebeğini genişletmeden teşhis olanağı sağlayan Zeiss Cirrus HD cihazı kullanılmaktadır.












OCT'nin erken tanı için referans olmasının nedeni glokomda saptanabilen en erken bozukluğun görme sinirinde ortaya çıkması ve OCT cihazının da bu hasarı güvenilir olarak gösterebilmesidir. Görme alanı muayenesi ile ancak sinir hücrelerinin %30-40'ı tahrip olduktan sonra glokom teşhis edilebilmektedir. OCT ise çok daha erken devrede (%10 hasar gibi) glokomun teşhisini mümkün kılmaktadır. OCT ayrıca glokom tanısı konmuş hastalarda takip sırasında gelişebilen bozuklukları da görme alanı muayenesine göre daha erken saptama olanağı sunmaktadır.
OCT tamamen zararsız bir tanı yöntemidir, radyasyon yaymaz. Göze teması ya da herhangi bir ilaç verilmesini gerektirmez. Görüntülerin alınması saniyeler içinde gerçekleşir.